湛江中心人民医院

健康湛江

医院电话

0759-3157999

湛江中心人民医院

粤西首例!我院成功运用"体外二氧化碳清除"治愈1例重度ARDS患者

作者: 内科ICU 来源: 内科ICU 编辑: 王 倩 发布时间: 2020-11-09 点击数: 6388


       近日,我院内科ICU团队在莫俊德主任带领下,成功运用体外二氧化碳清除(extracorporeal CO2 removal,ECCO2R)使1例重度ARDS(体重170Kg),合并心、肝、肾等多器官功能障碍的生命垂危患者重获新生。据了解,这是粤西首家医院自主应用体外二氧化碳清除技术取得成功,目前国内开展此技术的医院也仅有4家。

 ▲莫俊德主任团队为患者实施俯卧位通气

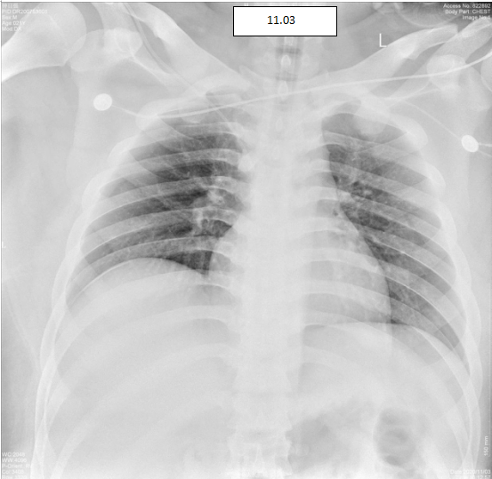
       病例回顾  该患者是一位21岁的青年男性,体重170公斤,因“反复咳嗽咳痰气促4天,加重1天”入院。入院后8时后气促明显,无尿,氧合指数<100mmHg,床边胸片提示肺渗出明显。患者体型肥胖,深静脉穿刺难度高,由科室钟国荣副主任医师亲自为患者放置锁骨下静脉穿刺管及股静脉穿刺管,在莫俊德主任医师的指挥下,迅速对该患者采用创新性体外二氧化碳清除联合CRRT、呼吸机辅助通气、俯卧位通气、抗感染等治疗。

▲床旁体外二氧化碳清除(extracorporeal CO2 removal,ECCO2R) 

       最终在莫俊德的主任医师、陈莲芳护长等医务人员的精心照料下,2周后患者氧合改善,成功脱机拔管。

   

     

▲家属送来锦旗致谢

       此项新技术的成功开展,标志着我院危重症技术进入新的发展阶段,填补了我院乃至环北部湾地区的技术空白,为实现高水平医院建设做出了应有的贡献。

       ARDS的治疗一直是临床研究重点,近年来研究主要围绕机械通气策略的改进,体外膜肺氧合(ECMO)技术的应用,使ARDS治疗预后得到了一定程度改善。但ECMO技术对体外血流速要求较高,手术也相对复杂,具有极高风险,且费用昂贵。连续性静脉-静脉血液滤过联合二氧化碳清除治疗的应用,则有效地弥补了ECMO技术的缺陷,其不仅要求血流速度不是很高,建立外周血管通路就能满足,且风险较小,在操作上较为简单,费用上也更为便宜。

       体外二氧化碳清除是指在体外循环中清除二氧化碳从而达到提供部分呼吸支持作用的技术,包括动脉 -静脉方式和静脉 -静脉方式。ECCO2R系统能清除急性呼吸功能衰竭患者血液中的二氧化碳,纠正呼吸性酸中毒,降低潮气量和气道压,减少呼吸机相关性肺损伤,达到肺保护性通气的目的。随着科学技术的进展,ECCO2R在ARDS救治的呼吸支持中将发挥更大的作用,未来需要多中心、大样本、前瞻性对照临床研究来进一步证实应用ECCO2R系统的安全性和有效性。

 

地址:广东省湛江市赤坎区源珠路236号(南门)、广东省湛江市赤坎区康宁路(北门)

医院电话:0759—3157999

邮编:524045

医院网址:www.dr0759.cn

版权所有:广东省湛江中心人民医院 Copyright 2008 dr0759.cn All Rights Reserved.网站备案号:粤ICP备11087513号